(253) 854-2714
10725 SE 256th St #1, Kent, WA 98030 Review us on 

Latest Technology

Our entire team at Kent Dental is focused on providing exceptional dental care. . . one patient at a time. At the same time, we have made significant investments in new technology that helps us provide better care more efficiently. Some of the unique technologies we offer include:

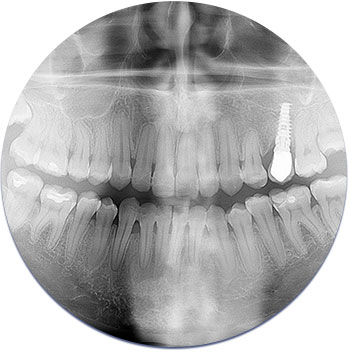
Digital X-Rays

Lower radiation and more detailed images are the two primary benefits of digital (vs. traditional) x-rays. In addition, these systems allow us to use smaller sensors which make things more comfortable for you. Finally, they enable us to study the images as soon as they are taken, and we can develop next steps in our treatment plans almost instantly.

Dexis Intraoral Camera

As discussed, digital x-rays are a very important part of diagnosing dental disease and developing treatment plans. At the same time, being able to capture HD images at up to 10x magnification is equally important. Whether it is decay, gum disease or a cracked tooth, these images allow us to show you what we are seeing in your mouth. Our intraoral camera also helps us enhance communication and claims approval with dental insurance providers.

Oral Cancer Screening

While more than 43,000 per year are diagnosed with oral cancer every year in the United States, it is estimated that less than 15% of patents who visit a dentist regularly receive an oral cancer screening. At Kent Dental, we take very seriously our opportunity to help identify health risks such as oral cancer as quickly as possible. Early detection is the most important part of successful treatment, and we utilize a wireless, handheld scope that uses natural tissue fluorescence to help discover potential abnormalities that might otherwise have been overlooked.

10725 SE 256th St #1, Kent, WA 98030 USA
Dr. Donald Hainer Dr. Manpreet Dhaliwal Kent Complete Dental Care is a family dentistry that is passionate in providing comprehensive dental services to their patients since 1992. (253) 854-2714 kentdentalclinic@hotmail.com